皇冠信用网在线注册_河南一老人做冠脉造影手术时一截导丝断在血管中!院方回应
世界杯皇冠信用网平台(www.hg0088.us)为您提供最新登1登2登3代理网址,包括新2登1登2登3代理手机网址,新2登1登2登3代理备用网址,皇冠登1登2登3代理最新网址,近日,来自河南汝州的高女士反映称,她的父亲在河南省胸科医院做冠脉造影手术时,手术所用导丝末端断裂,一截导丝被遗留在血管中皇冠信用网在线注册。“父亲原本就有血栓,担心随着父亲年龄增长,病情会加剧。”
9月30日,涉事医院医患办公室工作人员告诉南都N视频记者,术后院方组织了相关科室会诊,判断回旋支指引导丝远段断裂,与患者回旋支弥漫性动脉硬化重度狭窄病变及钙化有关皇冠信用网在线注册。如果患者需要做医疗事故鉴定,院方将全力配合。目前仍在与该病人家属进行协商。

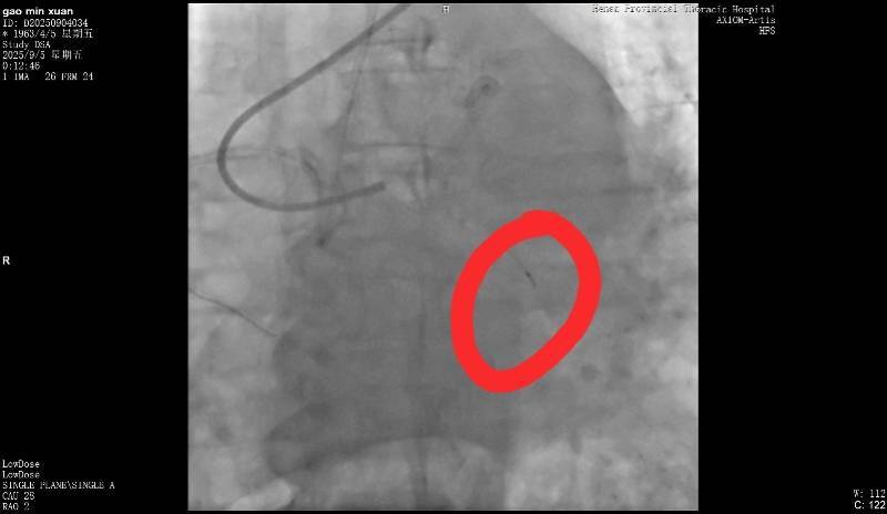
断裂的导丝皇冠信用网在线注册。受访者供图
病人家属:担心遗留导丝会加剧病情
高女士向南都记者介绍,其父亲今年62岁,去年因冠心病在河南省胸科医院做过支架植入手术皇冠信用网在线注册。今年9月2日,因感到胸闷,其父亲再次到该医院复查。
9月5日,高女士父亲在该医院做冠脉造影,手术进行了近3个小时皇冠信用网在线注册。高女士回忆说,手术结束后,负责手术的医生告诉她,“在微创探查体内的时候,一截导丝断裂。”当高女士询问能否再次实施手术取出时,医生表示因病患年纪较大,开胸手术存在危险,并没有取出的必要。但对于遗留导丝会否在后续造成长期影响,该医生则称“无法确定”。
高女士提供的病程记录显示,“手术操作过程中出现回撤导丝困难,送入微导管尝试至坎顿处未成功,退出微导管时远段导丝断裂,多途径尝试取出断裂导丝均未能成功皇冠信用网在线注册。”资料还指出,“通过复查造影,回旋支近段残余狭窄小于30%,未见明显夹层、无复流。”
南都记者留意到,该病程记录给出了心血管外科一病区会诊意见,称“回旋支内见离断的介入导丝,外科取出导丝意义不大,建议内科治疗”皇冠信用网在线注册。
高女士认为,父亲原本就有血栓,按照医院的说法,他的血管狭窄、钙化严重,其担心随着父亲年龄增长,情况会加剧皇冠信用网在线注册。她表示,目前有两个诉求,一是希望医院能给予一定金额的赔偿;二是由医院对接能做开胸手术的医院,必要情况下协助垫付一定费用。
涉事院方:可配合做相关医疗鉴定
9月30日,南都记者联系涉事医院医患办咨询,接线人员表示,目前已了解高女士的诉求,正积极与高女士进行协商皇冠信用网在线注册。
该名接线人员表示,该患者入院后,诊断冠心病、急性冠脉综合征,手术指征明确皇冠信用网在线注册。“术前已与患者及家属沟通病情,告知其冠脉造影及冠脉支架植入术的必要性及相关风险。”
这一说法可以在高女士提供的病程记录中得到印证皇冠信用网在线注册。相关记录显示,9月4日,手术医师进行查房,随后与患者及家属沟通病情,告知其冠脉造影及冠脉支架植入术的必要性及相关风险,其中提及,术后可能出现支架再狭窄或支架内血栓形成,可造成相关脏器急性缺血坏死或功能障碍,危及生命,以及导丝、导管、鞘管等术中所用材料断裂、打折等,必要时需要外科手术治疗。
该医患办工作人员向南都记者解释称,术后院方组织了相关科室会诊,判断回旋支指引导丝远段断裂,与患者回旋支弥漫性动脉硬化重度狭窄病变及钙化有关皇冠信用网在线注册。“如果患者需要做医疗事故鉴定,院方将全力配合。如果对方经济困难,医院愿意垫付费用做鉴定。”其还表示,医院将根据第三方相关鉴定,承担院方该承担的责任。
南都记者了解到,当前高女士向医院提出30万的索赔,院方认为索赔数目太高,建议走司法程序进行司法鉴定,以此明确医院的过错及比例,如果家属对血管里的导丝感到担心,医院可先补偿8000元皇冠信用网在线注册。
高女士表示,当前她已将诉求反映至省卫健委有关部门,正在进一步等候处理中皇冠信用网在线注册。
采写:南都N视频记者 林诗妍
猜你喜欢
- 2小时前波士顿凯尔特人 vs纽约尼克斯 _高速公路,要开始集中免费了吗
- 9小时前冰球 _印度媒体圈炸了:莫迪向普京要了5件杀器,件件针对解放军
- 23小时前利物浦比分 _上海一辆蔚来EC6撞石墩后车尾断裂,客服回应:目前已与车主取得联系,正在复盘事故经过
- 1天前皇冠信用网在线注册 _别吹齐尔克泽了!8.5分王牌才是曼联逆转水晶宫的真核
- 1天前皇冠信用网出租代理 _山西太原植物园门票价格被确定为50元/人次
- 2天前138信用盘出租 _凯塞多红牌风波:切尔西中场核心缺阵三场,马雷斯卡如何应对挑战?
- 2天前皇冠信用網会员 _U16国足完美开局:邝兆镭助攻,帅惟浩抢点破门引领胜利!
- 2天前皇冠信用网代理 _罗永浩回应为何没发录音:周一有大事官宣,不想被吵架带偏,后面看情况;此前喊话华杉“必须公开道歉,否则公关业不会有人再记得华与华”
- 2天前皇冠信用网平台开户 _普京高调宣称永不侵犯欧洲,西方却步步紧逼,普京罕见“爆了粗口”!
- 2天前皇冠信用网去哪里弄 _惨败!友谊赛-中国女足全场被压制+失误不断0-8英格兰女足
- 3天前皇冠信用网出租代理 _情况不妙,日本多地爆发游行示威,美军方出面敲打,特朗普罕见对中国示好!高市或不得不提前下台
- 3天前皇冠信用網会员申请 _女子被陌生男子造黄谣致失业离婚,花费数月锁定造谣者,维权近3年仅获道歉,20万赔偿款至今难落实
- 3天前皇冠信用网账号申请 _4年前75年现在72年,桂林一县委副书记任前公示被指存在年龄问题,当地:会核查
- 3天前皇冠信用网账号申请 _本周末四川继续晒太阳,下周成都将会降温降雨
- 3天前皇冠信用网最高占成 _警心暖民心 两日寻回三部“失联”手机
- 3天前皇冠信用網出租代理 _明日北京有大风扬沙天气,下周一最低气温骤降至-7℃
- 3天前皇冠信用網怎么开通 _知名女歌手在上海迪士尼被偶遇,见证求婚!“一时不知道谁更幸福”
- 4天前皇冠信用盘代理 _赖清德首提红线,划定决战时间!国台办彻底摊牌:结局只有一个
- 4天前皇冠信用網登2代理申 _解放军1小时登岛,台军高层混乱中被“斩首”,外媒已看到结局?
- 4天前皇冠信用網代理流程 _中国人民大学校长调整
- 4天前皇冠信用網怎么注册 _中日在海牙激战,多国围攻日本,东京后路全断,高市早苗被怼到翻白眼!
- 5天前皇冠信用网出租足球 _别念克洛普旧情了!利物浦该挖这51岁神帅救急,他比渣叔更适配
- 5天前皇冠信用网出租足球 _重大打击!美军宣布:放弃
- 5天前皇冠信用網会员开户 _俄罗斯首次用“唯一”定位中国,普京一声令下,对华这项支持必须到位!


网友评论