怎么申请皇冠信用网 _广东一男子20多年不敢一个人出门,医生从他脑中取出10厘米活虫
皇冠信用网会员开户(www.hg0088.us)皇冠会员开户_登3代理,皇冠信用网/—开会员账号—皇冠信用网招登1登2登3皇冠信用网平台出售,家住汕尾的阿勇(化名)今年52岁,从21年前开始出现癫痫大发作以来,他几乎从未独自出过门怎么申请皇冠信用网 。近日,广州的医生从他颅内取出一条潜伏长达20余年、约10厘米的裂头蚴,他感到前所未有的轻松。
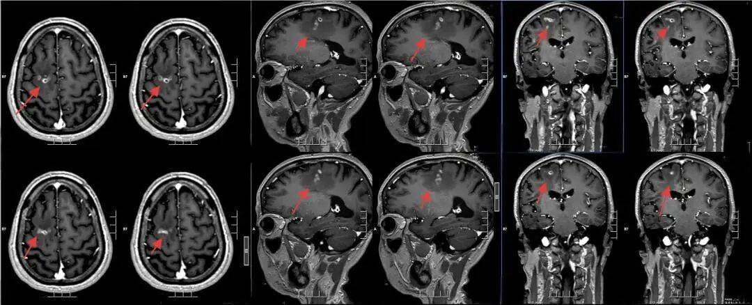
不敢独自出门的男子
“距离现在已经有21年了!”阿勇感慨道怎么申请皇冠信用网 。那晚,他在睡梦中突然四肢抽搐、牙关咬紧、眼球上翻,完全失去意识。在当地医院被诊断为“肉芽肿炎”,但医生告知,手术可能加剧发作,阿勇选择了保守治疗。
服用抗癫痫药后,阿勇依然会出现癫痫发作怎么申请皇冠信用网 。他的心理压力与日俱增,“每天在家,不敢一个人出门,担心随时发作。”他感觉脑袋始终堵着东西,只能靠小诊所的药片暂时缓解。
一年前,阿勇的病情进一步加重怎么申请皇冠信用网 。每次发作后,会出现短暂失语、左侧面瘫和肢体麻木。颅脑MRI检查结果提示,可能是寄生虫感染。为寻求进一步诊疗,阿勇来到广东三九脑科医院。
手术取出10厘米活虫
该院神经外二科张旭标副主任医师接诊后,根据影像结果,发现其右额叶病变,局部肉芽肿形成伴周围组织水肿怎么申请皇冠信用网 。“这是大脑为了隔离‘入侵者’筑起一道‘隔离墙’,周围的脑组织被刺激得肿胀。”张旭标解释,这些影像特征高度指向脑裂头蚴病。经比对,病灶范围稳定,手术时机成熟。

术前影像
“很激动,身体被搞垮了20多年怎么申请皇冠信用网 。”得知手术有望根治顽疾,阿勇在期待中夹杂着紧张。
手术采用神经导航技术,精确定位病变,张旭标在显微镜下小心抓取寄生虫、清理“虫窝”,避免损伤周围功能区脑组织怎么申请皇冠信用网 。术中,一条长约10厘米的灰白色寄生虫被完整取出。术后病理报告证实为裂头蚴。

张旭标在手术中
术后恢复良好的阿勇,脸上露出了笑容,“头不‘堵’了,感觉人都开朗、轻松了怎么申请皇冠信用网 。”
该院神经外二科副主任刘妲介绍,裂头蚴病多与饮食习惯相关,常因食用未煮熟的青蛙、蛇类,或饮用被污染的生水所致怎么申请皇冠信用网 。阿勇回忆,自己曾喝过生水,后来偶尔也会食用生腌虾蟹。
寄生虫在大脑中“安家”后,会持续刺激周围组织,引发肉芽肿和水肿,压迫神经结构,进而导致癫痫、头痛、肢体麻木甚至意识丧失怎么申请皇冠信用网 。由于潜伏期长、症状隐匿,极易被误诊为普通癫痫或脑肿瘤。刘妲特别提醒,预防寄生虫感染,关键要做到“三不”:不喝生水,不吃生食或未煮熟的食物,不用生肉敷贴伤口。
来源:广州日报
猜你喜欢
- 25分钟前世界杯皇冠信用网代理_美媒:055咸阳舰率队抵达黄岩岛,战力远超菲律宾海空军总和!
- 25分钟前世界杯皇冠信用网代理_已确认!西安气温“坐上过山车”!雨雪降温马上来……
- 1天前怎么申请皇冠信用网_ICE来了就吹哨子!暴力执法中的明州之冬与零下20°C的SOS
- 1天前怎么申请皇冠信用网_俄防长绍伊古来华,受普京总统委派沟通战略
- 2天前皇冠信用网押金多少_BBC驻华记者扭捏承认:在中国生活安全又方便
- 2天前皇冠信用网押金多少_阿森纳的主场优势:剩余英超比赛仅需离开伦敦3场,能否实现冠军梦?
- 4天前如何申请皇冠信用网会员_“我要传子传孙!”上海阿姨非要花100万买男表,却连品牌都说不清……警方提醒
- 6天前皇冠信用网结算日是哪天_胸闷!上海男子追讨700元,遭暗示付了8000元律师费!“被告承担”法院驳回→
- 7天前皇冠信用网代理登3_泽连斯基戏演砸了,总理欧尔班发话:未来100年内,匈牙利都不会让乌克兰加入欧盟
- 7天前皇冠信用网代理登3_男子卖400克金条借给朋友14万,金价大涨后要求按黄金现值还30万,法院驳回:以实际交付为准
- 1周前正版皇冠信用网代理_代驾称“快30岁没喝过茅台”后,车主赠送茅台,当事人:这单20多块,茅台顶半个月工资
- 1周前正版皇冠信用网代理_2比2战平乌兹别克斯坦队 国足结束西亚拉练
- 1周前皇冠信用网代理出租_“计划有变”!北京降雪情况有“调整”
- 1周前U23国足进球被吹 _U23亚洲杯-小仓幸成2球 U23国足0-4日本获亚军
- 1周前中国vs日本 _亚足联:越南后卫范理德对拜合拉木暴力行为 停赛3场罚1000美元
- 2周前皇冠信用网代理出租_U23亚洲杯中国队对战日本队,转播计划出炉!
- 2周前皇冠信用网址_特朗普撤回对加拿大总理加入“和平委员会”的邀请
- 2周前怎么开通皇冠信用网口_欠中国的钱,委内瑞拉不还了?美财长:中国已无法继续获得委方石油
- 2周前皇冠信用网在哪里注册_超200股已跌破“924”!千亿市值权重占一成,这些板块临近行情起点
- 2周前电竞足球_彻底傻眼!丹麦女首相哭晕:防了俄罗斯半天,转头被美国捅刀
- 2周前电竞足球_贝克汉姆出轨门女主声援大布:我太清楚他们夫妻啥样了!
- 2周前皇冠信用网登2代理_法德英三国最新表态:法国主张采取强硬立场,德国决心反制,英国呼吁冷静应对美欧关系
- 2周前皇冠信用网登2代理_肖晓华,被查!
- 2周前皇冠信用网申请_美媒:美国再次成为唯一超级大国,中国曾有机会,但如今输掉竞争


网友评论